top of page



When should we Seek Help for Foot Pain: 7 Signs You Shouldn’t Ignore
E"Foot pain is not always normal. Learn the warning signs that indicate when to see a specialist, such as persistent pain, swelling, infections, numbness, and wounds that won’t heal, to prevent complications."

Dr. Moayad Ayoub - Talus foot doctors
hace 4 horas


Manchas parecen, blancas son... ¿Qué tengo en las uñas?
¿Crees que las manchas blancas en tus uñas son solo golpes o falta de calcio? Cuidado: la leuconiquia puede avisar de diabetes o problemas renales. Descubre qué dice tu salud a través de tus manos en este análisis experto.

Ana Delgado Guirao - Talus foot doctors
hace 2 días


Gonartrosis: Qué es, síntomas y tratamiento
La gonartrosis o artrosis de rodilla causa dolor, rigidez y pérdida de movilidad. Conocer sus síntomas y tratamientos permite actuar a tiempo y mejorar la calidad de vida con ayuda especializada.

Xavier Bial Velvés - Talus Foot doctors
hace 4 días


Dolor de pies: 7 síntomas clave que no deberías ignorar
El dolor en los pies puede ser una señal de alerta. Descubre cuándo acudir al especialista, las señales que no debes ignorar y cómo un diagnóstico temprano ayuda a prevenir complicaciones y dolor crónico.

Dr. Moayad Ayoub - Talus foot doctors
15 ene


¿Qué es realmente el neuroma de Morton?
Descubre qué es el neuroma de Morton, por qué causa dolor en la planta del pie y cómo se diagnostica correctamente. Conoce los tratamientos más eficaces y cuándo la cirugía no es necesaria.

Dra. Laia López Capdevila - Talus Foot Doctors
13 ene


Artrosis de tobillo: lo que debes saber
La artrosis es el desgaste del cartílago articular. Vivimos más años y queremos vivirlos mejor: sin dolor, caminando, haciendo deporte. El único inconveniente del tiempo es que las articulaciones (...)

Dr. Alex Santamaria - Talus foot doctors
9 ene


Enfermedad de Osgood-Schlatter
La enfermedad de Osgood-Schlatter causa dolor de rodilla en adolescentes. Conoce cómo aliviar la inflamación con reposo, hielo y estiramientos clave para volver al deporte sin riesgo de recaídas.

Xavier Bial Velvés - Talus Foot doctors
7 ene


Noche de Reyes: avanzar con buen pie empieza por cuidar tus pies
Descubre cómo la Noche de Reyes nos invita a cuidar la salud de pies y tobillos. En Talus Foot doctors trabajamos para que avances con bienestar y sin dolor cada día, con atención especializada.

Talus foot doctors
5 ene


Ruptura del tendón de Aquiles
Rotura del tendón de Aquiles: qué es, cómo ocurre, síntomas, diagnóstico y tratamiento. Cirugía o tratamiento conservador, tiempos de recuperación y la importancia de una rehabilitación temprana.

Dr. Alex Santamaria - Talus foot doctors
2 ene


2025: un año de divulgación, colaboraciones y crecimiento en el blog de Talus Foot doctors
La Navidad es un momento para detenernos, mirar atrás y agradecer el camino recorrido. Un tiempo para compartir, descansar y cuidar de lo que realmente importa: nuestra salud y la de quienes nos (...)

Talus foot doctors
31 dic 2025


Esguince… ¿cuándo podré volver a hacer deporte?
¿Te has hecho un esguince de tobillo y te preocupa cuándo volver al deporte? Explicamos qué es un esguince, sus grados, tiempos de recuperación y cuándo es seguro retomar la actividad física.

Dr. Alex Santamaria - Talus foot doctors
29 dic 2025


Dolor Fémoro-Patelar: Lo que Necesitas Saber
El dolor fémoro-patelar es común en personas activas o sedentarias; causa dolor frontal de rodilla por sobrecarga o mala alineación y mejora con reposo, hielo y fisioterapia con cuidado más.

Xavier Bial Velvés - Talus Foot doctors
26 dic 2025


Felices Fiestas: seguimos caminando contigo hacia un nuevo año de salud
La Navidad es un momento para detenernos, mirar atrás y agradecer el camino recorrido. Un tiempo para compartir, descansar y cuidar de lo que realmente importa: nuestra salud y la de quienes nos (...)

Talus foot doctors
24 dic 2025


Guía para entender y tratar tu pie cavo
Pie cavo (mucho puente): ¿Necesitas plantillas "por si acaso"? Un experto traumatólogo aclara si es una enfermedad, qué dolores provoca y cuándo es realmente necesario el tratamiento.

Dr. Alex Santamaria - Talus foot doctors
22 dic 2025


¿Qué es una uña encarnada (onicocriptosis) y cómo podemos tratarla?
Una uña encarnada o onicocriptosis se produce cuando la lámina ungueal invade la piel circundante - el llamado rodete ungueal - ejerciendo presión sobre esta zona y llegando incluso a clavarse (...)

Pablo Garcia - Talus Foot Doctors
19 dic 2025


Fractura del quinto dedo del pie: pequeña pero muy dolorosa
Hablar de fracturas en el pie y tobillo de manera general puede abrir demasiadas preguntas e inquietudes. Por eso hemos decidido hacer una serie larga de artículos, en la que iremos explicando (...)

Dr. Alex Santamaria - Talus foot doctors
17 dic 2025


El origen de la pedicura: un viaje fascinante desde el antiguo Egipto hasta nuestros días
Descubre la sorprendente historia de la pedicura, desde el Antiguo Egipto (Cleopatra, Ankhmahor) hasta hoy. En Talus Foot Doctors, unimos la tradición milenaria con la salud podológica moderna

Ana Delgado Guirao - Talus foot doctors
15 dic 2025


Un caso clínico real: una inestabilidad de tobillo puede tener su origen en la columna
Caso clínico real que demuestra cómo una hernia lumbar puede causar inestabilidad crónica de tobillo, resaltando la importancia de una evaluación integral para tratar el origen del problema.

Dra. Laia López Capdevila - Talus Foot Doctors
12 dic 2025


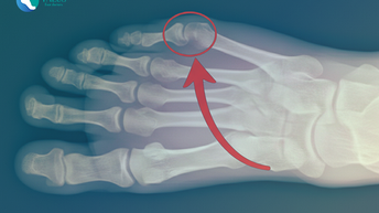
(IV) El juanete de sastre: la causa oculta del dolor en tu meñique que casi nadie conoce
El juanete de sastre o quintus varus provoca dolor en el borde externo del pie. Descubre sus causas, síntomas y los tratamientos más efectivos para aliviarlo, prevenir su avance y recuperar tu bienestar.

Dra. Laia López Capdevila - Talus Foot Doctors
10 dic 2025


Dedos en garra o martillo: Qué son, por qué aparecen y cuándo preocuparte
Descubre por qué aparecen los dedos en garra o martillo, sus causas, síntomas y soluciones. Aprende a aliviar el dolor y cuida tus pies con los especialistas de Talus Foot doctors (...)

Dr. Alex Santamaria - Talus foot doctors
8 dic 2025
bottom of page

